¿Te gusta tu sonrisa?
¡Nosotros te ayudamos a mejorarla!
DRA FUENTES DE VITTAR
+ EQUIPO
Nuestros Servicios
Prótesis
Reemplazamos piezas dañadas con prótesis dentales, restaurando la funcionalidad y estética de tu sonrisa.
Odontología estética
Ofrecemos tratamientos para mejorar la apariencia de tus dientes, como carillas y contorneado dental.
Implantes
Colocamos implantes dentales que actúan como raíces artificiales, brindando una base sólida para reemplazar tus dientes perdidos.
Blanqueamiento
Iluminamos tu sonrisa con tratamientos que eliminan manchas y decoloraciones, logrando dientes más blancos y brillantes.
Ortodoncia con alineadores
Corrige la posición de tus dientes con placas transparentes y removibles, diseñadas a medida para guiar gradualmente tu sonrisa hacia su alineación ideal.
Ortodoncia convencional con brackets
Alineamos tus dientes con brackets metálicos o cerámicos, mejorando tanto su posición como tu mordida.
Myobrace
El sistema Myobrace® aborda las causas de los dientes mal alineados, promoviendo el equilibrio entre dientes, lengua y labios como parte de un enfoque preventivo en ortodoncia.
Periodoncia
Cuidamos la salud de tus encías y tejidos de soporte, previniendo y tratando enfermedades que afectan el periodonto.
Sonrisas Logradas
Caso 1
Caso 2
Caso 3
Caso 4
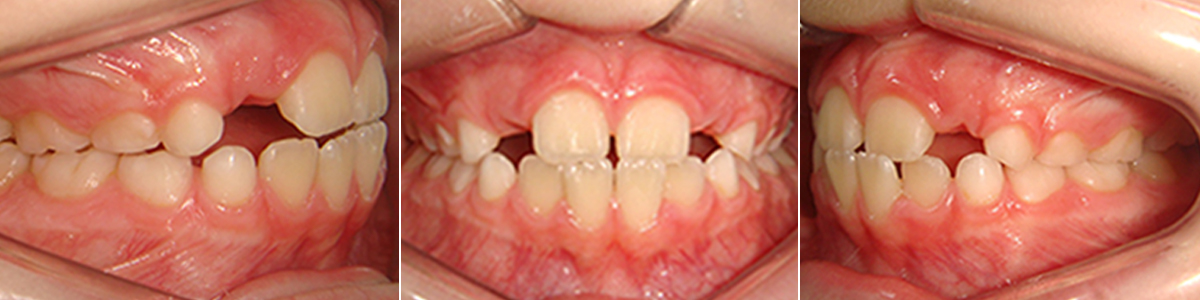
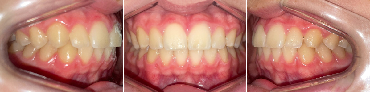
Caso 1 - Ortodoncia Interceptiva
Este caso corresponde a un tratamiento de ortodoncia interceptiva realizado en 2017. Manuel, nuestro paciente, presentaba una mordida invertida en el sector anterior a una edad temprana. Trabajamos para descruzar dicha mordida y, una vez que la guía anterior fue corregida, acompañamos el crecimiento de los dientes permanentes restantes. El resultado final muestra cómo una correcta función bucal permite al paciente morder, tragar y cerrar los labios adecuadamente. Los dientes se mantienen en su posición dentro de una cavidad oral funcional, asegurando estabilidad a largo plazo. Aquí pueden observar los resultados logrados tras este proceso.
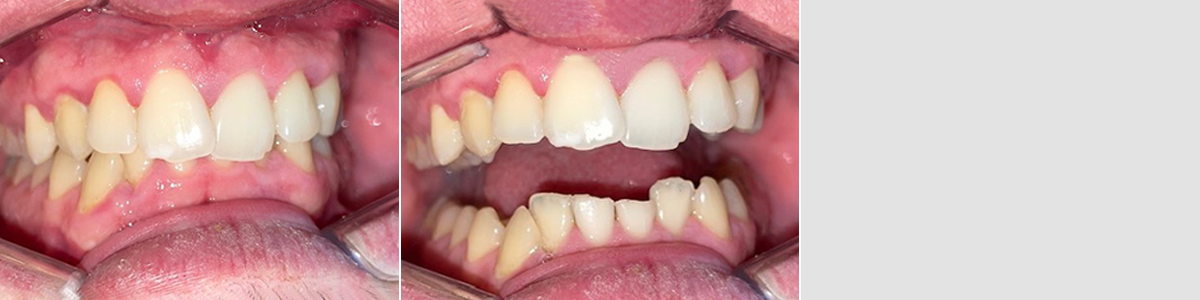
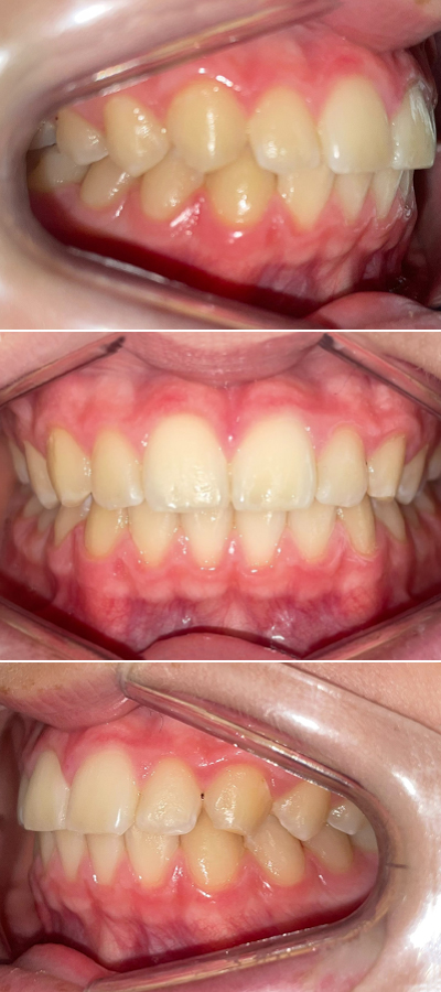
Caso 2 - Ortodoncia Interceptiva Finales
Estas son las fotos intermedias y finales del tratamiento de ortodoncia interceptiva. Una vez finalizado el tratamiento, se corrigió la mordida cruzada y se acompañó la erupción del resto de los dientes permanentes. Al lograr una correcta función bucal —controlando la deglución, la respiración y la masticación— el paciente continuó creciendo de manera estable, permitiendo que los dientes se posicionen de forma natural y armoniosa.
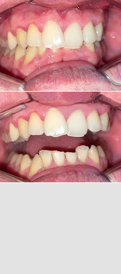
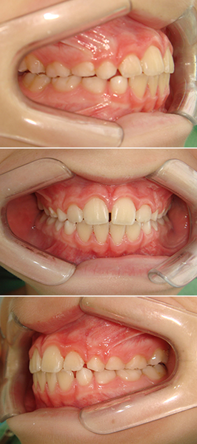
Caso 3 - Apiñamiento Dental y Mordida Cubierta
Gonzalo, de 25 años, acudió a consulta con apiñamiento dental y mordida cubierta, lo que dificultaba la restauración de sus dientes fracturados. Se propuso un tratamiento de ortodoncia con alineadores, lo cual permitió mejorar tanto el alineamiento dental como la mordida, facilitando así la reconstrucción de los dientes dañados.
Caso 4 - Mordida Cruzada Unilateral
Cristian llegó a la consulta con una mordida cruzada unilateral que ocasionaba múltiples complicaciones, como desviación mandibular, apiñamiento dental inferior, molestias cervicales, musculares y auditivas. Se inició un tratamiento con alineadores en conjunto con el acompañamiento de kinesiología y osteopatía. Este enfoque permitió corregir la mordida invertida, restablecer la oclusión y aliviar las molestias asociadas. A continuación, presentamos los resultados obtenidos.
Detras de Cada Sonrisa
Dra. Gabriela Fuentes Vittar
Ortodoncia, Myobrace, Blanqueamiento
Formación Académica y Profesional
La Dra. Gabriela Fuentes Vittar es egresada de la Universidad Nacional de Tucumán y especialista en Ortodoncia y Odontopediatría, certificada por la Asociación Odontológica Argentina y el Ministerio de Salud.
Además, se ha diplomado en Alineadores en la Sociedad Argentina de Ortodoncia y ha revalidado su título de Odontóloga en la UNAM (México), demostrando su compromiso con la actualización profesional.
Ha ejercido como docente en la Universidad del Salvador y actualmente es Docente Auxiliar en la UBA, en la cátedra de alineadores.
Somos un equipo profesionales promoviendo el trabajo interdisciplinario ayudando al paciente a solucionar en el mismo consultorio, en su mayor medida, su problemática.
-
Dra. Maria Jose Martin
Ortopepdia, Ortodoncia, Myobrace
-
Dra. Laura Vazquez
Periodoncia, Blanqueamiento
-
Dra. Verónica Mauad
Implantes, Prótesis, Rehabilitación, Blanqueamiento, Estética
-
Dra. Eliana Zamora
Ortopedia, Ortodoncia
-
Dra. Paula Palacios Hardy
Ortodoncia, Prótesis, Periodonocia, Blanqueamiento
-
Dra. Tamara Madalena
Implantes, Prótesis, Rehabilitación, Blanqueamiento, Estética
El Primer Contacto con Tu Nueva Sonrisa
Nuestras secretarias son el primer punto de contacto del consultorio. Ellas están aquí para recibir tus consultas y canalizarlas al profesional adecuado. A través de WhatsApp, te guiarán y ayudarán a coordinar tu tratamiento de la manera más eficiente.
Historias de Confianza y Sonrisas
Cada sonrisa tiene una historia
Trabajamos para construir más que resultados: construimos vínculos de confianza y felicidad con nuestros pacientes.
Como madre, llevo a mis tres hijas a la consulta con la doctora desde hace muchos años. Ella es excepcional, como dicen mis hijas. Es cálida y muy clara al explicar los procedimientos. Mis hijas van muy tranquilas a verla, sin ningún estrés por ir al odontólogo. ❤️
Conozco a Gabriela desde hace años. Primero fueron pacientes mis hijos y luego también me realizó varios tratamientos a mí. Excelente profesional, tanto ella como sus colaboradores. Destaco el compromiso y la calidez con la que siempre nos atendió. ❤️
Mis hijas y yo nos atendemos en este consultorio desde hace años. Tenemos la mejor experiencia tanto con la Dra. Gaby como con todo el equipo. Las secretarias son encantadoras. ❤️
¿Tenés dudas?
Estamos para ayudarte
Te dejamos las preguntas más frecuentes para que encuentres toda la información que necesitás. Si no encontrás tu respuesta, escribinos directamente, ¡estamos acá para vos!
FAQ Alineadores
Encuentra respuestas a las preguntas más comunes sobre el uso de alineadores. Descubre cómo afectan tu vida diaria y qué esperar durante el tratamiento.
FAQ Brackets
Obtén información sobre los cuidados y consideraciones especiales al usar brackets. Aprende qué alimentos evitar y cómo manejar situaciones comunes durante el tratamiento.
FAQ Blanqueamientos
Conoce más sobre el proceso de blanqueamiento dental, incluyendo la duración de los resultados y las diferentes opciones de tratamiento disponibles.
FAQ Alineadores
Direccion
Calle del Caminante 80 Piso 3. Depto 318, Nordelta Tigre
Horarios
Lunes a jueves de 8:30hs a 19hs
Viernes 8:30hs a 14hs




